子宮 血腫 108479
Jul 10, 04 · 1 はじめに 子宮留腫は,子宮腔内に各種貯留液が存在する病態であり,貯留液の性状により子宮留膿腫,留水腫(粘液,漿液),留血腫に区別される.用語上,臨床症状を伴う場合には留膿症,留血症と呼称すべきだが,便宜上,留腫と表現する.貯留液量に関する定義は特になく,報告例May 29, 19 · 絨毛膜下血腫(じゅうもうまっかけっしゅ)とは、胎盤を作るときに何らかの理由でうまく作れず、出血するものです。少量であれば子宮内にとどまるため、検診で気づくことになりますが、大量になると出血して気がつき「子宮留血腫」 ★ 英 hematometra 関 子宮留血症hematometra 子宮留血症 「hematometra」 ★ 子宮留血腫、子宮留血症 「子宮」 ★ 英 uterus (Z), womb, metra 関 内性器 発生学的由来 中腎傍管;
做完子宫肌瘤手术要休息多久 试管云
子宮 血腫
子宮 血腫-Sep 05, · 腹腔鏡手術で子宮を摘出して50日が経ちます。 手術後25日目くらいして、突然鮮血が出たので診察を受けると、2センチくらいの血腫ができていました。 それから3週間たちますが、まだ出血が続いています。先日、診察を受けると 血腫は1センチにFeb 10, 1997 · 子宮口が閉鎖した子宮留水腫(留血腫)に対する経腟穿刺細胞診 鳥居 裕一 1 1 聖隷浜松病院産婦人科 pp6 発行日 1997年2月10日 Published Date 1997/2/10 DOI https//doiorg//mf



子宫破裂征象 子宫破裂征象的治疗 子宫破裂征象的原因 子宫破裂征象怎么办 症状百科
Mar , 21 · ・絨毛膜下血腫(量:少量~大量、色:赤~茶) 受精卵が子宮内膜に着床した時、子宮内膜の血管が傷つけられ、子宮を包む絨毛膜と子宮内膜の間で出血することがあります。その際にできた血の塊が絨毛膜下血腫です。Jul 28, 16 · 子宮は血液がたくさん通っている場所でもあるため、手術中にも出血が伴います。展した不全子宮破裂 (図d1010)4) 不全子宮破裂症例 広汎な後腹膜血腫を形成し,血液は子宮円靱 帯や卵管下部の広間膜内に浸潤している. 子宮下部横切開が02~15%,下部縦切開が1~7%,t字切開や古典的帝王切開では4~ 9%といわれている4). 4)症状
の子宮筋層は完全に断裂しており,子宮内腔か ら腹腔内に向かって26㎜の低エコー域を認めた (図2).骨盤mriでも子宮筋層は9㎜の幅で完 全に断裂しており,断裂部には内腔から腹腔内 に連続する血腫を認めた(図2).子宮全摘出術Oct 11, 16 · 血腫には次のような特徴があります。 安産といわれる自然分娩のときにこそ発生しやすい;Jul 14, 03 · 子宮内血腫(けっしゅ)は妊娠初期には結構ある事のようです。
Sep 04, 13 · 子宮全摘後、血腫が再び大きくなりました。 以前にも質問した血腫の件です。 現在、術後約一ヶ月半です。 術後一週間後に5センチのものが見付かり、退院後も経過観察していました。 その後順調に小さくなり、二週間前の診察時には1,7センチ子宮全摘を予定。 47y, G2 P2 CC: 過多・過長月経,月経痛 Diagnosis: 子宮腺筋症,子宮内膜症 子宮体部腔長: 7 cm 術前GnRHアナログ: 3回 治療効果判定: 有効 月経痛の改善得られず。 子宮全摘も考慮したが GnRHアナログ治療中。Oct 01, 19 · 子宮筋腫核出術は、子宮の正常な組織は残し筋腫のみを摘出する術式です。子宮の機能を残せるので妊娠の可能性を 残せます。当院では、他の病院では腹腔鏡下手術は不可能と言われるような大きな子宮筋腫に対してもできる限り腹腔鏡 で手術を行います。



孕早期绒毛膜下血肿 超声评估方法和妊娠预后 丁香园



腺肌症患者子宫越大就越疼 不一定 血肿 内膜 病灶 网易订阅
発熱をきたした子宮留膿腫2例の検討 静岡県立静岡がんセンター感染症科 具芳明大曲貴夫 (平成18年12月1日受付) (平成19年2月5日受理) Keywords pyometra,polymicrobialinfection,anaerobe 序文 子宮留膿腫は閉経後の高齢者や子宮頸部疾患を有す子宮留膿腫は、子宮頸がんが発症機序になるなどして、主に閉経後の高齢者に発症する子宮の病気です。 この疾患は感染によって子宮腔内に膿が貯留し、子宮内部の圧力が高まり、発熱を伴う腹痛が起こります。 この病気を治療するには、子宮内に溜まった膿を出し、子宮内を綺麗にして消毒するしかありません。 ほとんどの場合は入院をして治療を行いますMar 16, 17 · 子宮腫大に伴う下腹部不快感や,高齢者の場合は頸管狭窄より子宮留血腫や子宮留水腫をきたし,水様性帯下のみを訴える場合もある 2) 。 検査所見 不正性器出血,過多月経,過長月経のある場合は経腟超音波断層法を施行する。子宮内膜厚の計測で



早孕期絨毛膜下血腫有何臨床意義 如何治療 婦產時間 微文庫



懷孕了 B超說子宮裡有血 是不是要流產 每日頭條
世界大百科事典 第2版 子宮留血腫の用語解説 小児時にかかった麻疹やジフテリアによる腟炎などからくる腟潰瘍に続発するもの,その他,腐食剤使用後,外傷性また老人性のものなどがある。Sep 27, 19 · 血腫が発生した場合、大半が強い痛みを伴うため、小さい血腫であっても、基本的には局所麻酔による血腫除去手術が行われます。頸管狭窄とは、子宮頸部(子宮の下部)の通路が狭くなった状態のことです。 不妊症になったり、子宮に血液や膿がたまることがあります。 子宮口を広げる処置で症状を和らげることができます。 頸管狭窄では、子宮頸管(腟と子宮体部をつないでいる



孕早期绒毛膜下血肿 超声评估方法和妊娠预后 丁香园



Ppt 胎盘早剥placental Abruption Powerpoint Presentation Free Download Id
Mar 24, 11 · 子宮摘出後の血腫について。どれくらいで吸収されますか? 膣式子宮摘出術後8日目に腹痛・熱発があり、腹腔内に血腫があることがわかりました。約2週間が過ぎ、少し吸収されてきている・・・ということでしたが、すべて吸収されるまでにはどれくらいの期間が必要でしょうか。無理Jun , 15 · 子宮は側副血行路が豊富だからです。メトトレキサート(mtx)は使いません。仮性瘤は,胎盤遺残とは無関係と考えられているためです。瘤と胎盤遺残が同時に存在する稀な場合にはmtx選択の余地がありますが,筆者にその経験はありません。卵管留水腫が存在する方の体外受精の妊娠成績が不良の理由 貯留した卵管内容液が胚に対する毒性を持っているという説(胚毒性) 子宮内膜の着床能を低下させるという説(内膜毒性) 内容液が胚を子宮外へ押し流してしまうという説 無治療の卵管留



子宫破裂征象 子宫破裂征象的治疗 子宫破裂征象的原因 子宫破裂征象怎么办 症状百科



怀孕14周先兆性流产 大出血 胎膜后血肿 怀孕 引产 内裤 子宫 吉林省妇幼保健院自由行热门攻略 胎盘 卫生巾 产科 床单 母婴 孕产经验
Jun 05, 18 · 子宮の病気の中でも発生頻度が高く、もっとも一般的な「子宮筋腫」。子宮筋腫が小さいうちは自覚症状がほとんどないため、妊娠して初めて子宮筋腫があることが判明する妊婦さんも少なくありません。子宮筋腫とは一体どんなもので、妊娠・出産にどのような影響を及ぼすのか、またJun 27, 17 · 子宮にできる良性の腫瘍「子宮筋腫」は、30歳以上の女性の~30%に見られるといわれます(※1)。命にかかわる病気ではありませんが、腫瘍の大きさやできる場所によっては治療が必要になるケースもあります。そこで今回は、「子宮筋腫の大きさやできる場所によって、治療法が家庭医学館 老化にともなう女性性器の病気と症状の用語解説 卵巣(らんそう)ホルモンの減少が原因 老化を厳密に定義するのは非常に困難ですが、一般的には、生物の成熟期以降に生じる個体の機能的、形態的変化をさして老化といいます。 女性の性機能の老化は、加齢にともなう卵巣



婦科腹腔鏡手術 中亞健康網 用心傳遞每一刻為您把關健康人生



瘀青血腫別輕忽錯誤處理恐成慢性疼痛 Now健康 健康數位內容第一品牌
Jun 09, 10 · 絨毛膜下血腫 妊娠4ヶ月(12週目)の二人目妊娠中の妊婦です。 前回、切迫流産について質問させて頂きましたが状態が悪化してしまいました。 定期的に出血と下腹部痛があり本日の診察で子宮内の血腫が7㎝×3㎝になってました。Mar 02, 16 · 子宮内腔は内膜の壊死が認められ,穿孔部周囲は壁が 菲薄化していた.また子宮筋腫も併存していた(Fig 3). 病理組織学的所見:子宮内腔には膿瘍形成が見ら れ,子宮壁全層性に高度の炎症細胞浸潤を認めた.漿 199 09年9月24日受付 10年1月5日採用して子宮鏡下筋腫核出術・腹腔鏡下筋腫核出術 (29歳)、筋腫核出術(29歳)、 帝王切開術(30歳)、 筋腫核出術・子宮腺筋症切除術(38歳)。 今回、 子宮筋腫の診断で癒着剥離術・腹式単純子宮全摘 術を施行し、術後の経過は良好で第8病 日に退院 となる。



免疫相關不良妊娠答疑解惑37 絨毛膜下血腫 每日頭條



妊娠 15w6 巨大絨毛膜下血腫 3人育児



孕9周 需要注意些什么 问起网 婴幼儿百科全书



生死时速 平湖一院成功抢救一名孕28周重度胎盘早剥产妇 嘉兴在线



產道血腫 產道血腫是在分娩過程中產道不同部位的血管破裂 血液因不能外流形 百科知識中文網



子宮破裂 醫學影像學習園地



3 絨毛膜下血腫 感染性流産による流産 日本産婦人科医会



妊娠期肝血肿及破裂鉴别诊断 如何诊断妊娠期肝血肿及破裂 查疾病 疾病大全



做完子宫肌瘤手术要休息多久 试管云



做完子宫肌瘤手术要休息多久 试管云



安徽医疗纠纷网 陈俊福律师 合肥医疗纠纷律师 合肥医疗事故律师



Retrochorial血腫 在ilive上主管健康



少女腹痛尿不出竟是處女膜閉鎖 即時新聞 自由健康網



史素洁 腺肌症姐妹的子宫越大 姨妈期就越疼么 血肿 内膜 网易订阅



12 絨毛膜下血腫 日本産婦人科医会



产后出血子宫切除标本的病理诊断



絨毛膜下血腫又是個什麼鬼 Zi 字媒體



首页 此页面仅支持预览 Avatar 氧气1z5kc 3篇日记 顺产恶露一般多久排完 顺产一个月了还有恶露正常吗 顺产恶露一般多久排完 顺产一个月了还有恶露正常吗 产后恶露不尽 这是许多产妇都会出现的一个问题 那么 顺产恶露一般多久排完 当新妈妈顺产



自然流产新疆医科大学第一附属医院妇产科教研室 Ppt Download



1



绒毛膜下血肿与胎停 积极保胎杜绝胎停流产 妊娠 胎儿 胎盘 怀孕 子宫 母婴 绒毛膜下血肿 母婴 婴童洗护



胎盘早剥 Ppt Download



医疗新技术 释胞儿 干细胞治疗子宫创伤性愈合不良 圣释新闻 Sclnow圣释



絨毛膜下血腫 ツバメに乗ってきたベイビィ 8



怀孕子宫后壁图片 第1页 图说健康



月经是排毒好时期 多吃3种食物 或助补充雌激素 保护子宫卵巢



胎盘早剥 Ppt Download



分娩所致血肿的分类及处理 阴道



驚險 孕婦在家散步突分娩胎兒滑出頭部墜地顱內血腫險死 生活熱話



猫咪患耳血肿的症状及治疗方法 会使耳朵增厚 挤压有疼痛感 百宝猫



分娩百科之產道血腫 每日頭條



子宫切除以后会衰老的很快吗 知乎



子宮肌瘤手術後 多久才能準備懷孕 每日頭條



北京妇产学会



絨毛膜下血腫 Haoyisheng 微文庫



卵巢黄体血肿为什么会卵巢黄体血肿 妈妈网



發生率第一的女性癌症 乳癌 血腫科醫師李楊成教自我檢查早期發現 今健康



絨毛膜下血腫 Haoyisheng 微文庫



妇科知识口诀歌大全 知乎



第306医院妇产科成功抢救一例胎盘早剥 新华网



国内外名家操刀的疑难妇产科视频 错过了这次就没有了哦 资讯咖



懷孕的血腫 在ilive上主管健康



子宮破裂 台灣word



12 絨毛膜下血腫 日本産婦人科医会



Ppt 胎盘早剥 Placental Abruption Powerpoint Presentation Free Download Id 521



培安動物醫院 貓 耳血腫 Facebook



欧亚迪斯 女性整体健康服务平台



女人宫寒身体差 老得快 简单一招 让你变回 暖女人 知乎



43岁宫颈癌怀孕 艾灸肚子里的血肿没有了



絨毛膜下血腫について 出産を大切な思い出にする千葉県浦安市の 佐野産婦人科医院



子宮破裂 醫學影像學習園地



血腫 媽咪拜mamibuy



胎盘早剥的超声诊断 F61妇幼社区



G8 1sen Ztjbm



子宫穿孔5大常见的临床表现症状 妇产科



胎盘早剥的超声诊断



切迫流産 産婦人科医の生活 楽天ブログ



Wvm2 Myrmdojxm



淺談新生兒血腫 硬塊 臍帶出血 臍炎護理方法 M頭條



为何会有胎膜血肿该咋办呢 妊娠 生长发育 孕期 胎儿 保胎 母婴 孕产经验



新生儿血肿护理 莎莉欣月 北京专业月子中心 母婴护士到家 北京月嫂 月子食谱 产后康复 新生儿护理 专业母婴护理



北京头条



2



绒毛膜与子宫后壁之间可见液性无回声区 范围约73 15 93mm 内呈云雾状回声 考虑绒毛膜下血肿 这种情况要紧吗 育儿问答 宝宝树



瘀青 血腫千萬別揉 不明瘀青更要處理 大家健康雜誌



子宫肌瘤和卵巢囊肿有什么区别 知乎



妊娠晚期出血复旦大学附属妇产科医院卢媛各位同学 早上好 我今天主讲的内容是 妊娠晚期出血 我们都知道 怀孕是令人开心的 但也让人紧张 因为 在怀孕的各个阶段 都可能会出现各种意外 Ppt Download



有子宮肌瘤的准媽媽 易流產 早產 孕期要注意什麼 Zi 字媒體



絨毛膜下血腫 Haoyisheng 微文庫



什么是胎盘早剥 孕晚期哪些原因会引起胎盘早剥 孕晚期 宫腔 产检 饮食 胎盘早剥 胎盘 腹部 妊娠 子宫 医护人员



孕后的绒毛膜下血肿 一定慎重对待 与造成不良妊娠结局 一



Q Tbn And9gctd8ervjmx1rku75lg W9xrusfcqvlndyiyl Fnx5thw9x5xzbt Usqp Cau



胎盘早剥 Ppt Download



宫颈粘连需要手术吗 深圳边检总站医院



知否 知否 各種胎盤異常 Itw01



全子宫切除术后阴道断端血肿 医联



懷孕的母親對膜下血腫一無所知



绒毛膜下血肿 超声联盟 微信公众号文章阅读 Wemp



血種が消えるまでの12週間 絨毛膜下血腫 を抱えて挑んだ私の出産 たまひよ



再谈绒毛膜下血肿



巨大儿的危害有哪些 孕期要注意啊 知乎



子宮切除手術 全子宮切除與次全子宮切除之比較 Dr Yen 鄢源貴醫師醫療服務站 即日起本網站留言不再回覆 請轉至fb留私訊 痞客邦



1



懷孕的母親對膜下血腫一無所知



絨毛膜下血腫との戦い 入院中のこと 子供が欲しくて三千里



妇科知识口诀歌大全 知乎



14歲少女腹痛無法解尿竟是處女膜閉鎖經血淤積造成 生活新聞 生活 聯合新聞網



1



Http 123 135 105 66 Suite Portal Res Key



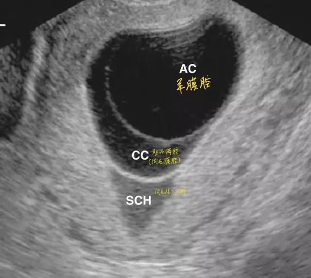
绒毛膜下血肿超声表现 羊膜



醫師手術後沒開止痛藥 抗生素竟挨告業務過失重傷害 社會 自由時報電子報



狗耳朵血肿手术 不会萎缩 恢复良好 狗耳血肿手术宠物医院在线咨询 猫咪狗狗疾病 在线宠物医院 永安宠物医院



Www Yixiecloud Com Upload Houtai File Pdf



胎盘早剥placental Abruption Ppt Download

コメント
コメントを投稿